非典型肛瘘如何治疗?分享内镜下逆行挂线引流成功病例
来源: | 作者:百康医疗器械网 | 发布时间: 2021-07-23 | 338 次浏览 | 🔊 点击朗读正文 ❚❚ | 分享到:
我们广泛接种的疫苗对“德尔塔”变种病毒依然是有效的。特别是从广州疫情的防控经验中也可以看到,完成全程接种新冠疫苗的人即使发生了感染,发生重症的风险相比较低



患者信息


患者为19岁女性,因“反复腹泻、腹痛伴肛周不适4月余”于2021-3-18入院。4个月前患者出现腹泻,每日1~3次稀水样便,伴下腹痛,伴有肛周不适,但无明显脓液及包块,间断发热,38℃左右,9天前外院肠镜示“回肠末端炎、结肠炎”,病理提示“慢性炎症”,为明确诊断及进一步诊治转诊我院就诊。



入院评估


入院查体:体温 36.3℃,心肺听诊无殊。腹软,左下腹压痛,无反跳痛,肠鸣音正常。肛周未见明显包块及瘘口。


入院查体:体温 36.3℃,心肺听诊无殊。腹软,左下腹压痛,无反跳痛,肠鸣音正常。肛周未见明显包块及瘘口。


实验室检查提示贫血,低蛋白血症及炎症指标升高;血CMV及EBV抗体、DNA检测均阴性,难辨检测也阴性。


小肠CTE示“结肠、回盲部及盆腔部分小肠管节段性壁厚、强化,系膜血管梳状征”,胸部CT无明显异常。


外院肠镜病理会诊提示结肠慢性活动性结肠炎。


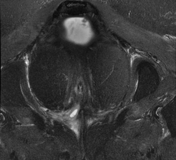
入院后第2日患者出现发热,体温最高39℃,无明显其他感染定位症状,抗生素治疗后仍有发热,复查hsCRP较前轻度升高(35.8mg/L~40.5mg/L),予抗感染治疗后高热仍反复。肛管MR增强检查显示“齿状线上方水平,约10~11点位置条片影经内外括约肌向右前下会阴皮下走行,外口不明确,局部与阴道紧贴,是否相通不明确;约10~11点位置另一条于内外括约肌间隙向右后上走行向直肠下段,似相通”(图1)。


图片


图片

图1  肛管MR增强


结合患者腹痛腹泻病史、节段性肠道病变及会诊的病理、复杂性肛瘘,临床拟诊克罗恩病(CD)。考虑患者反复发热为高位肛瘘所致,遂请外科会诊处理肛瘘,考虑无明显外口及浅表的脓肿,内口位置较高,常规外科切开挂线途径困难。


这样一例疑难的CD女孩,反复发热、未见外口的非典型肛瘘,临床治疗何去何从?另辟蹊径,可否尝试内镜下逆行挂线引流?


通过国外文献查阅,有经验表明肛瘘的充分引流除了外科手术,可以尝试内镜下引流。但既往文献报道的内镜下引流一般适用于已经挂过线且存在明确瘘道的患者1,2。对于一个没有明确外口的非典型肛瘘,内镜下如何寻找瘘道是挂线过程中重要操作挑战。


结合肛管MR提示有一瘘道可疑通往直肠下段,进一步行结肠造影显示“直肠末端见条线状影向前下方延伸,长度约18mm,末端稍膨大,范围约10mm×7mm”,提示直肠瘘口存在(图2)。”


图片

图2  结肠造影


考虑直肠存在瘘口,遂再次行肠镜,肠镜检查除了发现回肠末端及结直肠多发溃疡,最重要的是发现直肠的确存在针尖样大小的瘘口(图3)。


瘘道内口已发现,可否逆行尝试由内至外行挂线治疗呢?


经过与患者及家属充分沟通,患者及家属感受到希望并当即表示非常愿意尝试。


图片

图4  直肠瘘口扩张后


图片

图3  直肠内瘘口扩张前


IBD团队在肠镜下使用IT刀扩大内瘘口表面(图4),在内镜灯光引导下,进一步采用ERCP的针形切开刀(可自带导丝引导)贯通会阴部皮面,导丝引导下继续扩大体表窦道,引入橡皮筋至肛口挂线(图5)。


图片
图片

图5  直肠会阴贯通术


术后第2天患者体温随即恢复正常,我院肠镜活检病理提示活动性慢性回结肠炎,见非干酪样肉芽肿。至此患者诊断为CD(A2L3B1+P)明确,内镜下肛瘘挂线引流成功。


后续的药物如何选择?


AccentⅡ研究表明,antiTNF-α制剂可有效促进CD患者的肛周瘘管愈合3,指南推荐在脓肿充分引流的前提下合并肛瘘的高危CD患者可尽早联合antiTNF-α制剂和硫唑嘌呤诱导临床缓解4。该患者在体温正常后开始英夫利西单抗+硫唑嘌呤治疗。2月余后门诊复诊诉无腹痛腹泻,肛周基本无流脓,且体重增长2.5kg,Hb、CRP及粪钙卫蛋白正常。



讨论


克罗恩病患者合并肛瘘出现反复高热临床处理,第一步需要充分引流,对于高位复杂性肛瘘,指南推荐首先应考虑进行外科途径引流,包括挂线引流或置管引流5


实际临床上我们有时也会遇到非典型肛瘘无明显外瘘口且内口高,常规外科挂线方式处理困难的情况。面对此种情况首先需要MRI联合结肠镜甚至结肠造影明确是否存在肠腔内的瘘口及明确的瘘道,如果有明确的内口及瘘道,我们要想到可以尝试内镜下逆行引流的可能性。


邵逸夫医院IBD中心在国内首次尝试内镜下IT刀扩大内瘘口并使用ERCP的针形切开刀贯通会阴表皮,引入橡皮筋,全程通过内镜操作完成肛周挂线引流,相比手术引流更微创。


该患者在内镜下逆行经肠道肛周挂线引流成功后,后期联合药物英夫利西单抗加硫唑嘌呤进行诱导治疗,目前该患者疾病已稳定。

综上所述

内镜下逆行瘘口切开+挂线引流术目前在临床上CD合并肛瘘的患者初次尝试是可行的,疗效明确,但需要进一步积累更多的临床数据。尤其像此类CD合并非典型肛瘘的患者,外科途径挂线困难的情况下,在明确存在瘘道及内瘘口的情况下,可以尝试推广内镜下逆行挂线引流。


引用文献

1. Shen Bo. Exploring endoscopic therapy for the treatment ofCrohn's disease-related fistula and abscess.[J]. Gastrointestinal Endoscopy, 2017:S001651071730069X.

2.PG Kotze,S Bo,A Lightner, et al. "Modern management of perianalfistulas in Crohn's disease: future directions." Gut67.6(2018):gutjnl-2017-314918.

3. Sands B E ,  Anderson F H ,  Bernstein C N , et al. Infliximab MaintenanceTherapy for Fistulizing Crohn's Disease[J]. 新英格兰医药杂志, 2004, 350(9):876-85.